Dr. Vágó Anna - Mobil Ultrahang Vizsgálat

+36 30 222 8732 +36 23 310 061

Vizsgálatok

A húgyhólyag, nőknél a méh és petefészek, férfiaknál a prosztata vizsgálata, valamint e szervek környezetében lévő gyulladásos, daganatos elváltozások kimutatása.

Alhasi fájdalmak, vizeletürítési problémák, véres vizelet hátterében gyakran a kismedencei szervek megbetegedése áll.

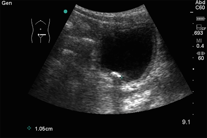
A máj, epe, epeutak, hasnyálmirigy, vesék és lép alakja, szerkezete tisztázható. Felvilágosítást ad a hasi nagyerek, a gyomor- és bélfalak állapotáról. A hasban előforduló egyéb esetleges kóros folyamatok (kóros folyadékgyülemek, daganatok, nyirokcsomók) ábrázolhatóak.

Hasi fájdalmak, derékfájdalom, egyéb hasi panasz (puffadás, teltségérzet, emésztési és székelési problémák) fennállása esetén első vizsgálatként ajánlott.

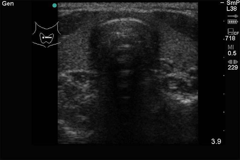
Alapvetően a pajzsmirigy, nyálmirigyek állapotának tisztázása mellett felvilágosítást ad a nyaki nagyerek állapotáról. Kimutathatóak a kóros nyirokcsomók, nyelvgyök körüli, szájfenék alatti, garatkörüli kóros elváltozások.

A nyaki régióban megjelenő kóros duzzanat, csomó fájdalommal vagy anélkül, szorító érzés a torok tájékán, rekedtség és esetleg nyelési zavar utalhat az itt található szervek kóros folyamataira.

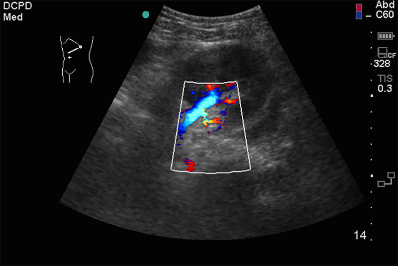
Doppleres érvizsgálatok az erek tágassága, faluk állapota, lefutása mellett, színes és pulzus dopplerrel vizsgálható bennük a keringés iránya, mérhető a keringés sebessége.

A kóros tágulatok és szûkületek, thrombusok, az erek részleges vagy teljes elzáródása kimutatható, mérhető. Érvizsgálataink a nyaki (carotis) erek állapotának tisztázására vonatkoznak.

Az érelmeszesedés korai stádiumban való felismerése a súlyos szövődmények megelőzése érdekében rendkívüli fontossággal bír. A már kialakult érbetegségekben az ultrahang a terápia megválasztásához feltétlenül szükséges.

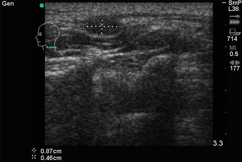
A nyaki, hónalji és ágyéki tájék nyirokcsomóinak gyulladásos vagy daganatos eredetû megnagyobbodásának kimutatására. Ha bármely testtájékon, vagy a felsorolt régiókban fájdalmas vagy fájdalommentes csomó ill. duzzanat jelenik meg, tisztázható, hogy az elváltozás nyirokcsomó vagy egyéb eltérés. Fontos tudni, hogy sok daganat első észlelhető tünete kóros nyirokcsomó megjelenése.

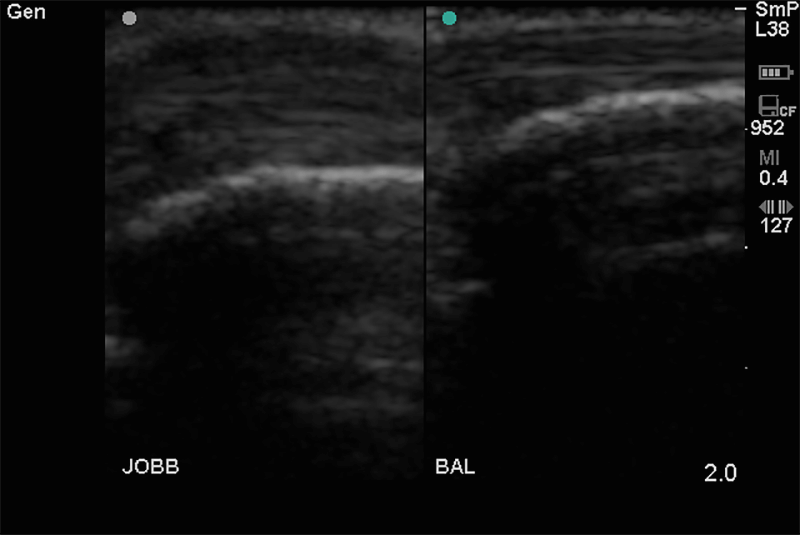
Duzzadt, fájdalmas izületek kórokának tisztázására sok esetben alkalmasabb az ultrahang, mint a röntgen. Az úgynevezett lágyrészek (izületi tok, inak, szalagok, környező izmok) jól ábrázolhatóak, míg röntgenfelvételen nem láthatóak. Az izületi felszíneket borító porcokról és az izületeket alkotó csontok felszínéről is kapunk információt. Sérüléses vagy gyulladásos eredetû izületen belüli vagy akörüli kóros folyadékgyülemek is kimutathatóak.

Tisztázatlan eredetû izületi fájdalom, csonttöréssel nem járó sérülés után az ultrahang vizsgálat rendkívül hasznos lehet a pontos diagnózis meghatározásához.

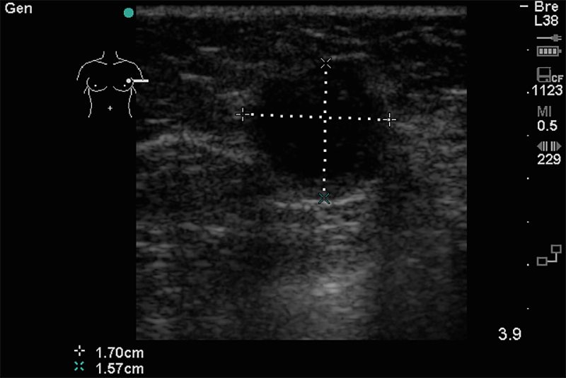
Tapintható emlőelváltozások esetén kimagasló jelentősége van az ultrahang vizsgálatnak. Eldönthető, hogy az adott elváltozás szerkezetileg milyen jellegû, folyadéktartalmú (cysta), avagy tömöttebb szerkezetû, mekkora, pontosan hol helyezkedik el, milyenek a kontúrjai. Ezek ismeretében nagy valószínûséggel megítélhető, hogy rossz- vagy jóindulatú elváltozásról van-e szó.

Az esetek egy részében az ultrahang kiválthatja a mammográfiát, más esetekben azzal kiegészítve teljes értékû. Negyven éves kor alatti hölgyek esetében szûrővizsgálatként is alkalmazható. Jóindulatú cysták kontrollálása is ultrahanggal történhet.

Minden vizsgálat időtartama nagyjából 15 perc.